United States
India
UAE
Canada
Smyleee Rating
Rated
Explore more
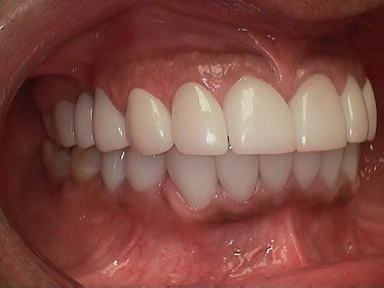
Dental Implants in Bakersfield California
10 clinics ranked