Smyleee Rating
Rated
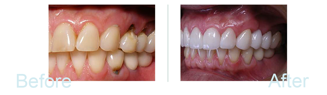
Dr. O’Leary is truly humbled to be of service to his many guests that visit us. He welcomes each and all with his unique playfulness and sense of humor. Although his passion is your dental rehabilitation; it is the relationships that he develops with his guests that he truly thrives upon. O’Leary Dental opened its practice in August of 1992 at 2004 West Court Street, Janesville. Our focus has traditionally been Cosmetic dentistry : What else do you call getting all the lead out? White restoratio