Implant cases on a faster Brentwood timeline
Smyleee Rating
Outstanding
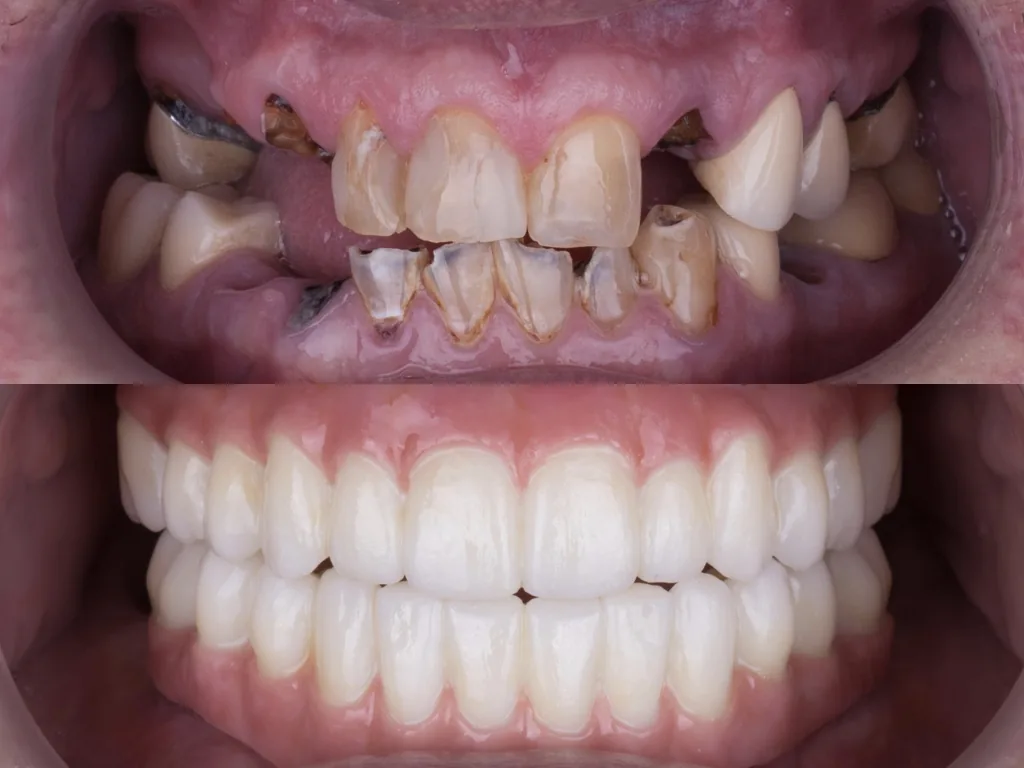
Same Day Smiles Nashville is a Brentwood practice positioned around a specific patient need: getting through an implant case in fewer appointments than the traditional staged-treatment approach. The Cool Springs office is set up so that patients with limited time off work — Brentwood, Franklin, Green Hills, and the southern Davidson County professionals who can't string together multiple half-day absences across many months — can move through implant treatment on a compressed schedule that still respects the actual biology of how implants integrate with bone.
You can have a single tooth replaced or move to a full-arch restoration here. Same-day implants is the term most patients arrive asking about, and the clinic's job in the consultation is to explain what that actually means: extraction of the failing tooth, placement of the implant fixture, and fitting of a temporary prosthesis all happening in one visit, with the permanent crown or full-arch bridge installed weeks later once osseointegration has stabilized. Bone grafting and oral surgery are handled in-house — which is what makes a single-visit start point even possible, since fewer referral handoffs means fewer scheduling delays.
If you're a working professional who can't take three or four mornings off across the next several months for staged implant appointments, this is the kind of practice built to make that schedule work.
On cost, a consultation here is the place to get a real quote rather than a generic price band — same-day workflows have specific cost implications that vary case by case, and the office walks through them line by line. Patients researching best clinics for same-day dental implants in Brentwood, the affordable implant dentist in Brentwood, TN bracket, or cost-effective dental implants in Brentwood under $3,000 typically arrive with budget questions and leave with a structured quote. For anyone Googling cheap tooth implants near Brentwood, this office is a sensible first stop.
A Brentwood implant practice positioned around shorter same-day workflows — extraction, fixture placement, and a temporary prosthesis in a single visit — covering single-tooth, full-arch, and full mouth rehabilitation cases for southern-metro patients with limited time off work.
Best Known For
Dental Implants, Oral Surgery, Full Mouth Rehabilitation, Bone Grafting, Sedation Dentistry
| Monday | 8:00 AM – 4:00 PM |
| Tuesday | 8:00 AM – 4:00 PM |
| Wednesday | 8:00 AM – 4:00 PM |
| Thursday | 8:00 AM – 4:00 PM |
| Friday | Closed |
| Saturday(Today) | Closed |
| Sunday | Closed |
Dental implants replace missing teeth with a post set in the jaw and topped with a custom crown, restoring chewing function and limiting bone loss.
Sedation dentistry helps patients stay calm and comfortable during treatment, a valuable option for anyone anxious about dental visits.
Oral surgery covers procedures beyond routine dentistry, including surgical extractions and the treatment of the teeth, mouth, and jaw.
Full mouth rehabilitation rebuilds extensive wear or damage across many teeth in one coordinated plan covering bite, function, and appearance.
Bone grafting rebuilds jawbone that has been lost, creating a stable foundation so a dental implant can be placed securely.
Smyleee Rating
Outstanding
444 reviews
Smyleee Rating reflects verified profile signals, reviews, and overall care quality.
Dr. Park and all the staff at Same Day Smiles are amazing. Excellent service, hands-on care, attention to detail, and exceptional kindness are just a few of the many great attributes their office provides. I couldn't be any more pleased and grateful for all their work for me. Thank you so very much for returning my smile to me & continuing to provide outstanding care moving forward!
I cannot say enough wonderful things about Dr. Parks and his entire team at Same Day Smiles, especially Jhami! After a terrible experience with a previous dentist, I was honestly traumatized. It left me avoiding the dentist altogether, which only made things more painful and stressful overtime. From the moment I walked into Sane Day Smiles every single person treated me with kindness, understanding, and true compassion. They immediately put me at ease. They listened, they reassured me, and they never once made me feel embarrassed for my fears or past experiences. Anytime any issue came up, they handled it quickly, professionally, and with so much care. They took swift action to fix anything that needed attention and they NEVER made me feel like it was my fault. Dr. Parks is truly amazing, and his entire staff (with a SPECIAL shoutout to Jhami) works together like the most supportive, comforting team you could ask for. They’ve completely changed the way I feel about going to the dentist. I am so thankful I found them, I would recommend Same Day Smiles to absolutely everyone! They are simply the BEST!
Dr. Parks and his entire staff are IMPECCABLE. Having dental procedures can be a very anxious time. From the time you arrive and check in for your initial consultation, up until your last visit Dr. Parks who is highly talented and committed to you and your new smile along with his highly skilled , highly caring staff will guide you through every step of your new smile journey and answer any questions in great detail with ease. There was always clear communication regarding the cost, the steps, and aftercare.Thank You Dr. Parks and staff for a job well done!!!!!!!
I've been working with Dr Park for a couple of years now. I don't even know how it would be possible to say enough good things about him and my experience. From the start, Dr Park was genuinely concerned with my situation, and he wanted to help. I could see that in the way that he spoke to me and in all the options he gave me to get the work done. I've referred 2 people to him since and another person is going to be going soon. If you're thinking about getting your teeth done, I highly recommend going in to see Dr Park for a consultation. I'm so happy because now I don't have to hold back at all and I can smile really big with my beautiful grandbaby.
Chynethia did an excellent job cleaning my teeth, yesterday! Had some concerns and felt nervous and she put me right at ease. She made me feel so comfortable and reassured me about any/all issues I was having! She was fast, too! I just love her and look forward to her helping me again, for my next cleaning/exam! Dr. Park has really put together a top-notch team that includes the best of the best!!
Reviews are aggregated from public sources.





Explore more